动态
HUAYOU NEWS
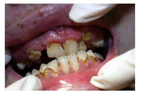
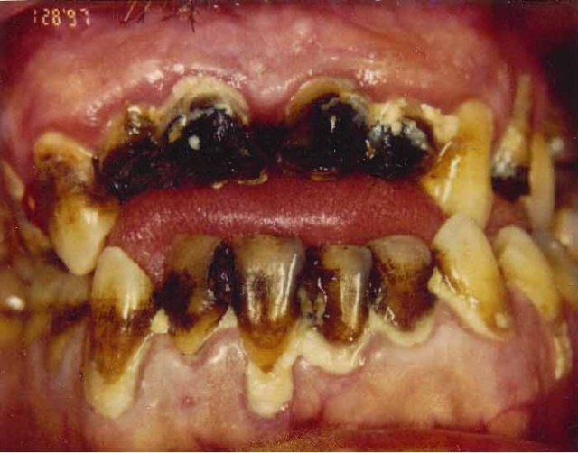
除了眼睛牙齿应该就是一个人第二个展示自己的窗口吧,一口干净洁白的牙齿能给一个人加分不少。可长期溜冰毒的人,尽管看着好像没有什么症状,其实一口“冰毒牙”就把你暴露了,都说病从口入,“毒”也是从口开始。
滥用冰毒已在国际上已经成为严重的社会问题。冰毒滥用对全身性的后果比较严重,在口腔中的表现常见后果之一就是龋齿(蛀牙),“冰毒牙”由此得名。

吸冰毒轻则导致牙齿很黑,重则着色和腐蚀严重,且这种牙是无法治疗的。
为什么会产生“冰毒牙”?
首先冰毒本身具有大量酸类成分(蓄电池酸,肥料和家用清洁剂)会损坏牙齿,而吸食冰毒后会产生强烈的亢奋效果。且一般冰毒药效长,一般具有时间长达12小时左右,在此期间使用者会渴望吃甜食(如碳酸饮料和糖果)也会造成牙齿磨损。
冰毒成瘾者因为心瘾以及内心的情绪失常,会造成神经紧张产生磨牙等行为,造成牙齿的过度磨耗。

过度神经紧张,情绪失常生活规律也会发生改变,不注意个人卫生,可能会好几天都不刷牙不注意牙齿清洁,从而引发牙周病等。
看似很普通的几个原因会有多大的影响?
“冰毒牙”的产生主要还是和冰毒本身有很大的关系,其它的的原因只是起到了“辅助”作用,既然能专门起个名字叫“冰毒牙”,那就肯定有蛮大的伤害。
“冰毒牙”主要体现在五大方面!
干口症:
唾液可以稀释我们饮食中的酸类和消毒等作用,起到多种保护作用。冰毒让人唾液腺枯竭,当唾液分泌量减少的时候,口腔内的细菌就会增加,加倍损坏牙釉质,最终出现龋齿等。

龋齿:
冰毒成瘾者会因为口干反应而渴望吃含糖量高的食物和饮品。这样,口腔内靠糖类为生的细菌会大量繁殖,并分泌酸性物质,使牙齿损坏更严重。冰毒服用者的龋齿通常会从牙龈边缘发展到整个牙齿,前牙首当其冲。
牙隐裂:
冰毒成瘾会造成焦虑、亢奋或紧张,导致磨牙等行为。长期溜冰毒即使吃一些很软的食物,也会使服用者的牙齿出现隐裂。
牙周病:

牙齿和牙龈都需要血液来保持健康,冰毒使口腔组织的血管收缩,血流量减少,最终导致口腔组织坏死。且一般不会注重牙齿的卫生保健,注定也会加大牙周病的产生的概率。
伤口:
用吸烟的方式吸入冰毒的人,会在嘴唇、牙龈、内颊侧或硬腭等处出现伤口或者烧伤痕迹。用鼻子吸入冰毒的人,会在咽喉后部出现烧伤痕迹。冰毒的滥用会降低人抵御感染的能力和伤口自愈的能力。